TEL:025-82210064   Email:374221297service@yfxbio.com 联系我们

当前位置: 首页 >> 产品中心 >> 细胞株 >> 人源细胞系

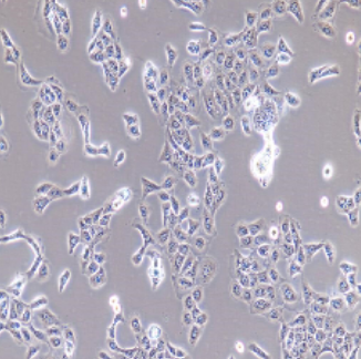
HaCaT人永生化表皮细胞(STR鉴定正确)

  • 产品编号:

    YFX-CLH138

  • 产品规格:

    1×106cells/T25培养瓶

  • 目录价格:

    1500

  • 说明书下载:

    点击下载

产品简介
细胞收取后处理方式
细胞传代
细胞复苏
细胞冻存

产品简介

细胞简介

该细胞源自一位62岁患有黑色素瘤男性的病灶外围正常皮肤,角蛋白、角化细胞交联外膜蛋白、中间丝相关蛋白阳性。

生长培养基

DMEM-H+10% FBS+1% P/S。

细胞特性

上皮样细胞,贴壁生长。

培养条件

气相:空气,95%;二氧化碳,5%。 温度:37℃,培养箱湿度为70%-80%。

推荐传代比例

1:2-1:4

推荐换液频率

2~3次/周

冻存条件

冻存液:90%血清,10%DMSO,现用现配。

运输

冻存细胞干冰运输; 复苏细胞常温运输。

细胞收取后处理方式

1、收到常温细胞后,第一时间检查培养瓶有无漏液、瓶身有无破损现象,如有则立即拍照并联系公司业务员;收到冻存细胞后,第一时间检查干冰是否全部已挥发、冻存管瓶盖是否脱落、破损,如有则立即拍照并联系公司业务员。

2、不要打开培养瓶盖,先用75%酒精擦拭培养瓶表面,显微镜下观察细胞状态,如有任何疑问,立即拍照清晰照片,联系公司业务员。

3、将细胞静置于细胞培养箱培养2-4小时,稳定细胞状态。

4、仔细阅读说明书,严格按照说明书上的要求进行后续操作。

5、静置完成后,取出细胞培养瓶,进行镜检、拍照(建议40×、100×、200×各一张),所拍照片将作为后续服务的依据,建议细胞传代培养之后,定期拍照、记录细胞生长状态。

细胞传代

一、悬浮细胞:

可通过补充新鲜培养基或者离心换液两种方式维持培养,离心转速参考1200 rpm(250g左右),离心3分钟。

二、贴壁细胞:

1、弃去培养上清,用不含钙、镁离子的 PBS 润洗细胞 1-2 次。

2、 加入 0.25%(w / v)胰蛋白酶-0.53 mM EDTA 于培养瓶中(T25 瓶 1-2mL,T75 瓶 2-3mL),置于 37℃培养箱中消化 1-2 分钟(难消化的细胞可以适当延长消化时间),然后在显微镜下观察细胞消化情况,若细胞大部分变圆并脱落,迅速拿回操作台,轻敲几下培养瓶后加入 3-4mL 含 10%FBS 的培养基来终止消化。

3、轻轻打匀后吸出,在 1000RPM 条件下离心 3-5min,弃去上清液,补加 1-2mL培养液后吹匀。将细胞悬液按 1:2 的比例分到新 T25 瓶中,添加 6-8mL 按照说明书要求配置的新的完全培养基以保持细胞的生长活力,后续传代根据实际情况按 1:2~1:5 的比例进行。

细胞复苏

将含有 1mL 细胞悬液的冻存管在 37℃水浴中迅速摇晃解冻,加入到含 4-6mL 完全培养基的离心管中混合均匀。在 1000RPM 条件下离心 3-5min,弃去上清液,完全培养基重悬细胞。然后将细胞悬液加入含 6-8mL 完全培养基的培养瓶(或皿)中 37℃培养过夜。第二天显微镜下观察细胞生长情况和细胞密度。

细胞冻存

收到细胞后建议在培养前 3 代时冻存一批细胞种子以备后续实验使用。下面 T25 瓶为例:

1、细胞冻存时按照细胞传代的过程收集消化好的细胞到离心管中,可使用血球计数板计数,来决定细胞的冻存密度。一般细胞的推荐冻存密度为 1×106~1×107个活细胞/mL。

2、1000rpm 离心 3-5min,去掉上清。用配制好的细胞冻存液重悬细胞 ,按每1mL 冻存液含 1×106~1×107个活细胞/mL 分配到一个冻存管中将细胞分配到冻存管中,标注好名称、代数、日期等信息。

3、将要冻存的细胞置于程序降温盒中,-80 度冰箱中过夜,之后转入液氮容器中储存。同时记录好冻存管在液氮容器中的位置以便后续查阅和使用。

代理品牌

联系我们

电话:13770634715
邮箱:3515301762@qq.com
QQ:3515301762